잇몸성형

내 얼굴에 맞는 '스마일라인'을 찾아드립니다.

잇몸성형이란?

웃을 때 유독 잇몸이 과하게 보이거나 혹은 잇몸이 돌출된 경우에 무의식적으로
입을 가리거나 잇몸을 가리기 위해 불편하셨던 적이 있으신가요?
비대칭적이거나 심미적이지 못한 잇몸을 적절하게 다듬어 주는 치료입니다.

잇몸절제술 VS 잇몸이식술

환자의 상태에 따라 맞춤치료

잇몸절제술

통상적으로 상악 전치의 길이는 10-11mm가 이상적입니다.
위의 사진에서처럼 상부 경계부와 잇몸이 살짝 보이는 것이 가장 아름다운 스마일 라인이라고 할수 있습니다.

비정상적으로 부어있는 잇몸을 적절한 형태로 다들어주는 치료입니다.

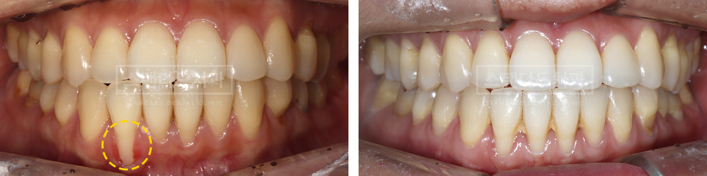
잇몸이식술

잇몸이식술은 사고 후 외상, 치주질환 등 다양한 원인으로 잇몸이 뿌리 끝으로 내려가 있는 경우
치아가 시리고 간혈적통증을 느끼게 됩니다. 이 경우 과도하게 노출된 치아의 뿌리를 잇몸이식을 통해
잇몸을 덮어주는데, 구강안의 인접부위에서 잇몸을 채하여 치료합니다.

치료사례

copyright ⓒ 스탠다드치과. all rights reserved.

상담 신청하기

지점
(0 / 최대 50자)
취소하기
전화 아이콘

대표 상담번호
02-6485-2828

카카오상담 네이버예약