스탠다드 치아교정

정확한 진단을 바탕으로 치료합니다.
자신감 있는 미소를 찾아드립니다.

스탠다드치과

치아교정의 특별함

교정치료는 가지런한 치아배열 뿐만 아니라
아름다운 미소와 균형잡힌 얼굴이 턱관절과 조화를 이루어 기능적인 교합을 할 때
완전하게 치료되었다고 판단되는 치과의 전문분야입니다.
스탠다드치과는 재치료가 없는 이상적이고 안정적인 완벽한 치아교정을 추구합니다.

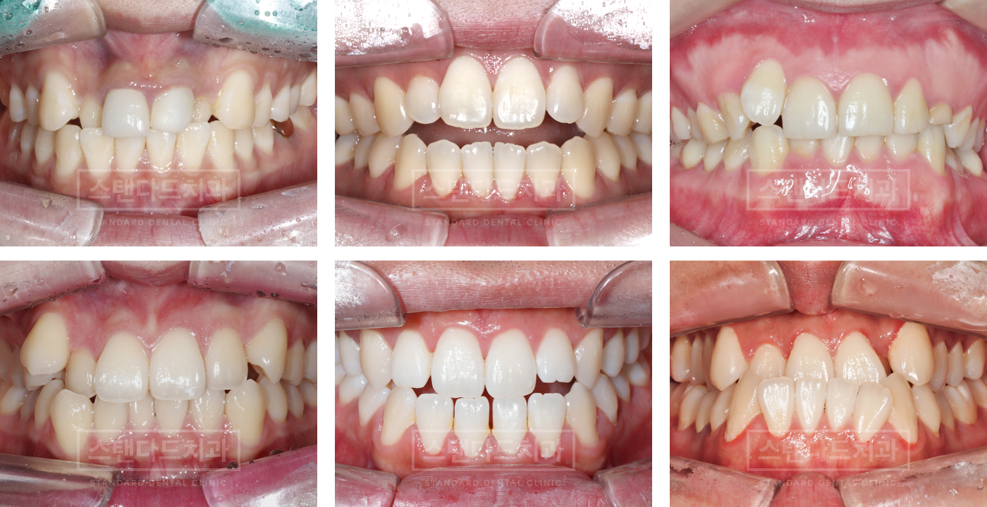
'덧니'가 콤플랙스여서 교정이 하고싶어요.

같은 덧니이지만 같은 치아는 없습니다.
스탠다드는 그 치아에 맞는 치료를 합니다.

서울대출신, 의료진 1:1진료

서울대학교 치과대학, 대학원 그리고 치과병원 교정과에서 정규 수련을 받은
교정 전문의가 교정진단부터 치료, 치료유지 후 까지 1:1 책임진료를 진행합니다.

진단과정

다각도적 진단과정.
교정치료는 치아가 뿌리채 전체적으로 움직이기 때문에 치아배열, 위치 그리고 턱뼈까지
고려해서 정확하게 진단을 하여야 합니다.

정품 재료 사용

저가 중국산 교정장치는 취급하지 않습니다.
정품교정장치 사용을 원칙으로 하며, 고품질의 재료와 안정된 진료로 높은 교정만족도를 이끌어 냅니다.

교정 후 관리 시스템

다양한 임상경험과 노하우를 바탕으로 교정이 끝난 후에도 꾸준히 관리해 드립니다.

copyright ⓒ 스탠다드치과. all rights reserved.

상담 신청하기

지점
(0 / 최대 50자)
취소하기
전화 아이콘

대표 상담번호
02-6485-2828

카카오상담 네이버예약