칼럼

[잠실 라미네이트] 아이돌처럼 밝고 자연스러운 미소, 치아 삭제 없는 앞니 교정 후기

페이지 정보

잠실본점 조회 14회 작성일 26-04-02 11:13

본문


안녕하세요. 잠실역 스탠다드치과입니다.


최근 아이돌처럼 환하고 깨끗한 치아 라인을 꿈꾸며 라미네이트 시술을 고민하는 분들이 늘고 있습니다. 

치아의 색상과 모양 고민을 단기간에 해결할 수 있는 라미네이트는 심미적인 만족도가 매우 높은 시술 중 하나입니다.

스탠다드치과 잠실점에서 진행한 무삭제 라미네이트 사례를 통해, 치아를 보존하면서도 드라마틱한 변화를 만드는 과정을 상세히 소개해 드리겠습니다.



1. 라미네이트 시술이란 무엇인가요?

라미네이트는 치아 겉면에 얇은 세라믹 보철물을 덧붙여 치아의 색상, 모양, 크기를 개선하는 심미 치료입니다.

  • 치아 미백으로 해결되지 않는 변색: 잦은 커피 섭취나 흡연으로 깊게 변색된 치아 개선

  • 불규칙한 치아 배열: 교정 치료 없이 단기간에 고른 치아 라인 형성

  • 치아 형태 수정: 왜소치나 벌어진 치아 사이 공간(정중이개) 메우기

스탠다드치과 잠실점은 무분별한 시술이 아닌, 개인별 구강 구조에 맞춘 정밀한 계획을 통해 가장 자연스러운 결과를 지향합니다.



2. 1:1 맞춤 상담과 디테일한 설계

심미 치료는 아주 작은 디테일에서 결과의 차이가 나타납니다. 

이번에 저희를 찾아주신 환자분께서는 다음과 같은 구체적인 개선 희망 사항이 있으셨습니다.

  • 희망 사항: 치아 간격은 자연스럽게 채우면서, 기존의 어두운 치아 톤을 화사하게 통일하기

  • 디자인 커스텀: 너무 둥글지도, 너무 날카롭지도 않은 적당한 형태의 디자인 희망

  • 색상 선택: 자연치 중 가장 밝은 단계인 A1 색상을 선택하여 화사함 강조


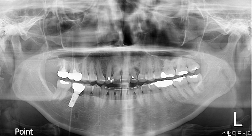
정밀 검사 및 사전 조치

63c7a660ebf63307b4a850008cd4a86d_1775122011_3192.png


시술 전 파노라마 엑스레이 촬영을 통해 치아와 잇몸 상태를 정밀 검진했습니다. 

과거 교정 치료로 인해 치아 안쪽에 부착되어 있던 유지 장치는 시술을 위해 잠시 제거한 후, 라미네이트 부착 완료 후 다시 안정적으로 재부착해 드리는 섬세한 과정을 거쳤습니다.



3. 스탠다드치과 원내 기공소의 강점

 

63c7a660ebf63307b4a850008cd4a86d_1775122024_9229.png


본원은 원내 자체 기공소를 운영하고 있어 외부 기공소에 의뢰하는 곳보다 훨씬 더 정밀한 소통이 가능합니다. 

환자분이 원하는 미세한 치아의 굴곡, 투명도, 질감 등을 기공사가 직접 확인하고 제작에 반영하기 때문에 한층 더 완성도 높은 보철물을 완성합니다.



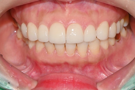
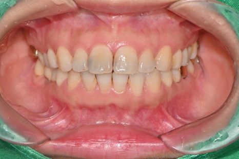
4. [Before & After] 치아 삭제 없는 드라마틱한 변화

치료 전 상태

63c7a660ebf63307b4a850008cd4a86d_1775122121_665.jpg

  • 중앙 앞니(중절치) 사이 공간이 벌어져 있어 심미적으로 위축된 상태

  • 치아 표면에 불규칙한 착색이 광범위하게 진행됨

  • 치아 끝단 라인이 매끄럽지 못해 거친 느낌


치료 후 결과

63c7a660ebf63307b4a850008cd4a86d_1775122139_5254.jpg


이번 사례는 치아 삭제 없이 진행된 무삭제 라미네이트로, 단 2회 내원만으로 모든 과정이 완료되었습니다.

  • 과하게 두껍지 않은 슬림한 형태 유지

  • 환자분이 원했던 가장 밝고 깨끗한 A1 색상 구현

  • 벌어진 틈을 완벽히 메워 균형 잡힌 스마일 라인 완성


환자분께서는 "치아 삭제 없이 원하던 모양과 색상이 그대로 나왔다"며 매우 높은 만족감을 표현해 주셨습니다.



5. 치아 보존을 최우선으로 하는 진료 원칙

스탠다드치과는 심미적인 목표를 위해 치아의 건강을 희생시키지 않습니다.

  1. 치아 보존 원칙: 자연 치아를 최대한 살리는 최소 삭제 혹은 무삭제 시술 지향

  2. 기능적 조화: 상악(윗니)만 시술하더라도 하악과의 교합에 문제가 없도록 세밀하게 진단

  3. 안정성: 환자의 구강 구조와 기능을 고려한 맞춤형 설계



[치료전후]
63c7a660ebf63307b4a850008cd4a86d_1775122265_2509.jpg
63c7a660ebf63307b4a850008cd4a86d_1775122568_2841.jpg
 

[잠실 스탠다드치과 예약 및 상담 안내]

기준이 확고한 치과, 결과로 증명하는 스탠다드치과에서 여러분의 미소를 설계해 드립니다. 

연제웅 대표원장님이 직접 1:1로 소통하며 정밀한 상담을 도와드립니다.


"밝고 자신 있는 미소, 잠실 스탠다드치과가 함께하겠습니다."

 


본 포스팅은 의료법 제23조 및 제56조를 준수하여 작성되었습니다. (치료 기간: 24년 5월 27일 ~ 24년 6월 10일) 

게시된 사진은 환자 동의 하에 보정 없는 원본으로 제공되었으며, 시술 결과는 개인에 따라 차이가 있을 수 있습니다.


copyright ⓒ 스탠다드치과. all rights reserved.

상담 신청하기

지점
(0 / 최대 50자)
취소하기
전화 아이콘

대표 상담번호
02-6485-2828

카카오상담 네이버예약