[잠실 라미네이트] 누런 이 치아 색상 개선, 치아 손상 최소화로 완성한 미소 교정 후기
페이지 정보
본문
안녕하세요. 잠실역 스탠다드치과입니다.
최근 들어 심미적인 이유로 라미네이트 치료를 위해 송파구 및 잠실 인근에서 내원해주시는 분들이 눈에 띄게 늘고 있습니다.
특히 대면 업무가 많거나 중요한 일정을 앞두고 자연스러운 미소를 되찾고 싶어 하는 분들께 라미네이트는 만족도가 매우 높은 시술입니다.
스탠다드치과에서는 실제 치료 사례를 통해 과정과 효과, 그리고 많은 분이 걱정하시는 치아 손상 방지 노하우를 자세히 알려드리겠습니다.
1. 라미네이트란 무엇인가요?
라미네이트는 치아의 앞면에 아주 얇은 세라믹 재료를 부착하여 치아의 색상, 모양, 크기 등을 개선하는 심미 치료 방법입니다.
특히 일반적인 치아 미백만으로는 해결하기 어려운 깊은 변색이나, 치아 끝이 깨지거나 불규칙한 경우에 매우 효과적입니다.
자연스러운 투명감을 재현할 수 있어 인위적이지 않은 미소를 원하는 분들께 적합한 선택지입니다.
2. 잠실 스탠다드치과가 지향하는 자연스러운 미소
커피나 차를 즐기는 습관으로 인해 누렇게 변한 치아는 첫인상에서 자신감을 떨어뜨리는 요인이 됩니다.
잠실점에서는 단순히 치아를 하얗게 만드는 것에 그치지 않고, 환자 개개인의 얼굴형과 입술 라인에 맞춘 1:1 맞춤형 디자인을 진행합니다.
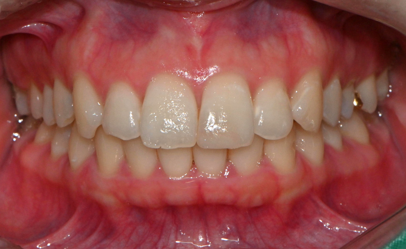
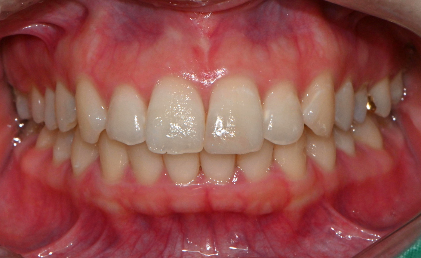
CASE STUDY: 치아 변색과 불규칙한 끝 라인 개선 사례
최근 저희를 찾아주신 한 환자분께서는 잦은 커피 섭취로 인한 치아 변색과 더불어, 앞니 끝 라인이 매끄럽지 못해 웃을 때마다 입을 가리는 습관이 생기셨다고 고민을 털어놓으셨습니다.
상담 및 정밀 진단: 디지털 장비를 활용해 환자분의 치아 상태를 면밀히 분석하고, 기존 치아와 가장 잘 어우러지는 밝은 색상과 균형 잡힌 스마일 라인을 설계했습니다.
정밀 인상 채득: 라미네이트의 수명과 안정성을 결정짓는 것은 정교함입니다. 실리콘 재료를 사용해 치아의 미세한 구조 까지 반영하여 오차 없는 맞춤형 보철물을 제작했습니다.

3. 치아 건강을 지키는 '최소 삭제' 원칙
라미네이트 시술 시 가장 큰 걱정은 역시 '치아 삭제량'일 것입니다.
잠실 스탠다드치과에서는 자연 치아 보존을 최우선으로 합니다.
이번 사례에서도 치아 끝 라인을 미세하게 다듬는 정도의 최소 삭제를 통해 시린 증상을 방지하고 불편함을 최소화했습니다.
삭제량을 줄이면서도 정교한 접착 기술을 사용하여 보철물의 강도는 높이고 자연스러움은 극대화했습니다.

최종 확인 및 부착 단계
보철물을 완전히 접착하기 전, 치아 표면을 세척하고 결합력을 높이는 특수 약품 처리를 거칩니다.
또한, 최종 부착 전에 환자분이 직접 거울을 보며 색상과 모양을 체크하는 과정을 거치기 때문에 시술 후 만족도가 매우 높습니다.


4. 치료 결과: 깨끗하고 균형 잡힌 스마일 라인
치료 후 환자분께서는 탁했던 치아 색상이 밝아진 것은 물론, 울퉁불퉁했던 끝 라인이 정돈되어 인상이 훨씬 부드러워지셨습니다.
환자 후기
"라미네이트가 처음이라 통증이나 이 시림이 걱정됐는데, 원장님께서 섬세하게 진료해주셔서 정말 편안했습니다.
고민했던 시간이 아까울 정도로 결과가 자연스러워서 만족스럽습니다."
5. 라미네이트 치료 후 주의사항
착색 예방: 시술 직후에는 착색을 유발하는 음료를 피하고 꼼꼼한 양치질을 유지해야 합니다.
식습관 조절: 매우 단단하거나 질긴 음식은 보철물에 무리를 줄 수 있으므로 주의가 필요합니다.
정기 검진: 시술 후에도 정기적인 검진을 통해 관리 상태를 확인하는 것이 수명을 늘리는 핵심입니다.
[치료전후]
[잠실역 스탠다드치과 예약 및 상담 안내]
자연스럽고 자신감 넘치는 미소를 찾고 싶다면, 숙련된 노하우를 가진 스탠다드치과가 정답이 되어드립니다.
환자 한 분 한 분의 고민에 귀 기울이며 정직한 진료를 약속합니다.
편리한 예약 및 상담 채널
네이버 예약: 실시간으로 시간을 확인하고 빠르게 예약할 수 있습니다.
카카오톡 채널: '스탠다드치과' 시술 관련 문의를 남겨주세요.
연제웅 원장님과 1:1 대화: 원장님이 직접 환자분의 고민을 듣고 상담을 도와드립니다.
대표 전화 및 위치
전화번호: 02-6485-2828
위치: 서울특별시 송파구 송파대로 562 웰리스타워 9층 스탠다드치과의원
"치아의 본질적인 건강과 아름다움, 스탠다드치과에서 시작하세요."
* 본 포스팅에 작성된 내용은 의료 정보 제공 목적으로 환자분의 동의 후 포스팅했습니다.
* 본 포스팅은 제23조, 제56조 의료법을 준수하여 작성하였습니다( 치료 기간 24년 10월 04일~24년 10월 05일)
* 업로드된 사진은 잠실 스탠다드치과 본점에서 촬영된 사진이며, 동일한 조건에서 촬영한 보정 처리 없는 원본입니다.
* 모든 시술 및 수술은 개인에 따른 부작용이 발생할 수 있고, 환자 상태에 따라 다른 결과를 가져올 수 있습니다.
관련링크
- 이전글[잠실 라미네이트] 아이돌처럼 밝고 자연스러운 미소, 치아 삭제 없는 앞니 교정 후기 26.04.02

빠른 상담신청